
Cooking our food has been a pretty important part of human history. It’s theorised that cooking had a major impact on our evolution by making our food more efficient, increasing our caloric intake, easing digestion, reducing our risk of getting ill, and potentially even contributing to making our brains larger.
We might have gained most of the evolutionary benefits we’re going to get from cooking, but we’re still likely to get sick if we eat undercooked food, especially meat.
Along with killing off many bacteria that we’d best not ingest, cooking also kills parasites that might have found whichever animal donated their meat to your plate. Tapeworms are particularly famous for getting into our bodies through these means, especially among those who prefer rare steak.
Rare beef might be a common and relatively safe delicacy, but it’s a rare option indeed to prefer undercooked pork.
Advert

And it will hopefully be even rarer thanks to this particularly gruesome news out of the US.
A 52-year-old man across the pond went to hospital in a bid to deal with persistent migraines that had been affecting him for a long time. They had recently become more severe and were striking almost weekly. His medication had stopped reducing their effects, too.
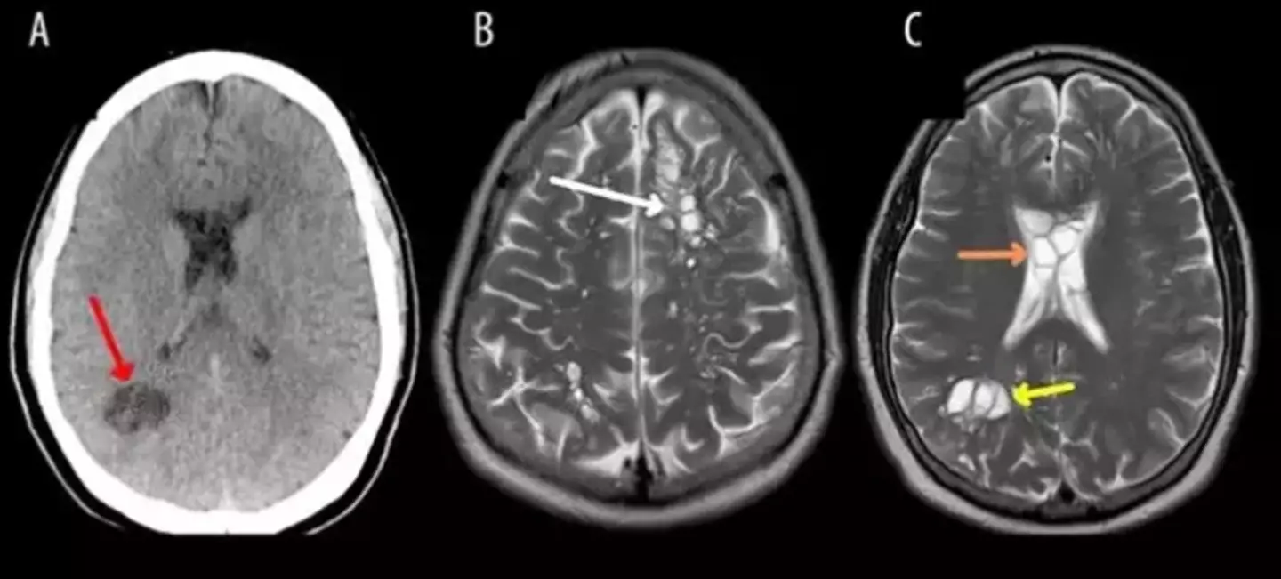
He was given a CT scan, and it revealed the root of the problem.
Advert
He was playing host to a set of larval tapeworm cysts in his brain – a condition called cysticercosis that can result from developing an intestinal tapeworm via infected and undercooked pork.
The infection causes headaches, seizures, confusion, balance problems, and potentially death.
Doctors theorised that he had contracted the cysts via “improper handwashing”, with the initial tapeworm getting into his system through undercooked bacon.
According to the American Journal of Case Reports which published an article about the man's illness, he had “admitted to a habit of eating lightly cooked, non-crispy bacon for most of his life”.
Advert
However, they did note that it could “only be speculated” that this habit and potentially unwashed hands had been the cause.
"Our patient’s lifelong preference for soft bacon may have led to instances of undercooked bacon consumption,” it said. “But this would have caused him to develop taeniasis, an intestinal tapeworm, and not cysticercosis."
While cysticercosis isn’t directly caused by eating undercooked pork, an initial tapeworm infection can arise if that meat contains active Taenia solium cysts – pork tapeworm eggs. Cooking meat thoroughly is the only way to ensure there are absolutely no tapeworm eggs in it.
It is, however, an extremely uncommon infection in the UK and US as pork in both countries goes through rigorous testing before hitting supermarket shelves.
Advert

The American Journal of Case Reports concluded: “It is very rare for patients to contract neurocysticercosis outside of classic exposures or travel, and such cases in the United States were thought to be non-existent."
There was a happy ending for the patient in question. He was treated with anti-parasitic and anti-inflammatory medication, and has since made a full recovery.
He was initially discharged after two weeks, with a “regression” in brain lesions and improvements to his headaches.
Advert
Modern hygiene practices and standards across the food industry have made it much less likely that we’ll contract worms of any sort, but that’s a relatively modern phenomenon.
Topics: Health